The Power of Full Mouth Implants

Unleashing the Potential of Full Mouth Implants

A radiant smile can light up a room and uplift spirits, but for many individuals grappling with extensive tooth loss or dental issues, achieving that confidence can seem like an elusive dream. Thankfully, advancements in dental technology have paved the way for a revolutionary solution: full mouth implants. More than just a cosmetic enhancement, full mouth implants offer a life-changing transformation, restoring not only smiles but also self-esteem and overall oral health. In this comprehensive guide, we delve into the world of full mouth implants, exploring their benefits, the procedure itself, and the profound impact they can have on individuals’ lives.

Understanding Full Mouth Implants:

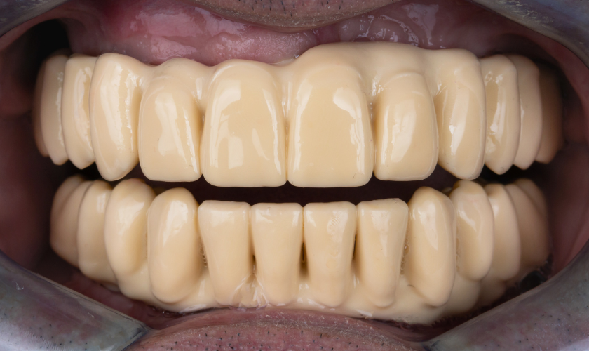
Full mouth implants, also known as full arch implants or implant-supported dentures, involve the replacement of all missing teeth in the upper, lower, or both arches of the mouth with dental implants. Unlike traditional dentures, which sit on the gums and can be prone to slipping or discomfort, full mouth implants are securely anchored into the jawbone, providing stability, functionality, and a natural-looking smile.

Benefits of Full Mouth Implants:

  1. Enhanced Functionality: Full mouth implants restore the ability to bite, chew, and speak with ease, allowing individuals to enjoy their favorite foods and engage in social interactions without hesitation.
  2. Improved Aesthetics: With customized prosthetic teeth that mimic the appearance of natural teeth, full mouth implants deliver a seamless and aesthetically pleasing smile, boosting confidence and self-image.
  3. Preservation of Bone Structure: By integrating with the jawbone, dental implants stimulate bone growth and prevent bone loss, maintaining facial structure and preventing premature aging.
  4. Long-Term Durability: With proper care and maintenance, full mouth implants can last a lifetime, offering a durable and reliable solution for tooth replacement.
  5. Enhanced Oral Health: Unlike traditional dentures, which can harbor bacteria and lead to gum disease, full mouth implants promote oral hygiene and reduce the risk of dental issues, contributing to overall oral health and well-being.

The Procedure:

The journey to a rejuvenated smile begins with a comprehensive consultation with a qualified dental professional. During this initial assessment, the dentist will evaluate the patient’s oral health, discuss treatment goals and expectations, and create a personalized treatment plan tailored to their needs.

The procedure itself typically involves several stages:

  1. Implant Placement: Dental implants are surgically placed into the jawbone, where they serve as artificial tooth roots.
  2. Healing Period: Following implant placement, a healing period of several months is necessary to allow the implants to fuse with the surrounding bone through a process called osseointegration.
  3. Abutment Placement: Once the implants have fully integrated, abutments are attached to the implants to connect them to the prosthetic teeth.
  4. Prosthetic Attachment: Finally, custom-made prosthetic teeth or implant-supported dentures are securely attached to the abutments, completing the restoration process.

Throughout each stage, patients are closely monitored by their dental team to ensure optimal healing and successful treatment outcomes.

Considerations and Precautions:

While full mouth implants offer a multitude of benefits, it’s essential to consider certain factors before undergoing the procedure:

  • Overall Health: Individuals with underlying medical conditions may require clearance from their healthcare provider before proceeding with implant surgery.
  • Bone Density: Sufficient bone density is crucial for the success of dental implants. In cases of bone loss, bone grafting procedures may be necessary to augment the jawbone.
  • Commitment to Oral Hygiene: Proper oral hygiene practices, including regular brushing, flossing, and dental check-ups, are essential for maintaining the longevity of full mouth implants.
  • Cost and Insurance Coverage: Full mouth implant procedures can be a significant investment, and patients should explore financing options and inquire about insurance coverage to ensure affordability.

In the realm of modern dentistry, full mouth implants stand as a beacon of hope for individuals seeking to reclaim their smiles and regain their confidence. Beyond mere aesthetics, these remarkable dental innovations offer a renewed lease on life, empowering individuals to eat, speak, and laugh without inhibition. As we continue to unlock the potential of full mouth implants, one thing remains clear: the impact they have on transforming lives is truly priceless.

Whether you’re facing the challenges of extensive tooth loss or simply seeking to enhance your smile, full mouth implants represent a groundbreaking solution that holds the key to a brighter, more radiant future. Embrace the journey to a revitalized smile, and let the transformative power of full mouth implants illuminate your path to newfound confidence and joy.

With the guidance of dental professionals and a commitment to oral health, the smile of your dreams is within reach. Say goodbye to limitations and hello to a life filled with endless possibilities—with full mouth implants, the journey to a radiant smile begins today.